癌腫是21世紀人類的克星。胰腺癌是癌中“王”之“王”。近年來,胰腺癌發病率逐年增加。美國每年有新發胰腺癌患者28000例,居惡性腫瘤死亡病因的第四位。許多名人和政要均患了胰腺癌,大多數已死亡。世界著名男高音歌唱家帕瓦羅蒂,他的名曲《我的太陽》在全世界家喻戶曉,被稱為“高音C之王”,也患了胰腺癌,病逝於2007年,終年72歲。他病逝前體重較最後一次舉行音樂會時減少了30公斤,還需要坐輪椅。
背景材料
由於胰腺深藏於腹腔深部,發生癌腫時往往無明顯癥狀。一旦發生“典型”癥狀,例如厭食、消瘦、後背疼痛和黃疸時,往往已屬晚期,能夠切除者不足全部病例的5%。往往手術打開腹腔時,發現癌腫已擴散或轉移,而被迫關閉腹腔,病人“白吃一刀”。
幾十年來,人們一直在探索胰腺癌治療的新措施。多種類型的放療相繼應用於治療胰腺癌,但未能提高病人的存活率。化療藥如健澤一度被人們寄予厚望,但結果令人失望,僅有5%-10%的患者在應用此藥後腫瘤縮小,且不能延長病人生存時間。中國抗癌協會於2002年總結全國2340例胰腺癌患者治療結果,其中三、四期患者治療後生存一年者分別為17%和7%,無一例能生存3年以上。
到底胰腺癌患者有無生存甚至治愈的希望?我們看以下事實――
中國江門老人的奇跡
2007年5月,馬來西亞《alaf semenanjung》雜誌主編Mazimah和Zainal記者、Wan記者、和《大家健康》Ong eng leong記者以及印度尼西亞五家媒體,包括《Femina》Yoseptin記者、《Media Indonesia》Heru記者、《Kompas》Susy記者、《Jawa Post》Ti Tik記者和《國際日報》楊學科記者先後訪問我院,希望了解最難治療的胰腺癌治療情況。
江門市是廣東省一省轄市,離廣州兩小時車程。那兒有一位老人黃先生,患胰腺癌,治療後已健康生活3年。我們驅車前去訪問。
黃先生家住江門市內一普通小區。我們的汽車剛在黃先生家門口停穩,黃先生夫婦即快步迎上前來。我在三年前見過黃先生,近年在記憶中已經淡忘。但我不斷聽到來自江門的朋友講起他。黃先生今年已83歲,但看上去他的年齡要小十歲。花白的頭發,紅潤的面龐,一副健康的福相。那天正好他移居加拿大的兒子回來,全家正處於團圓的歡樂之中,我們的到來,多少有所打擾。但黃先生全家對馬來西亞和印尼的客人給予十分熱忱的接待。讓座、倒茶,相互問候,客廳內一時熱鬧異常。
黃先生告訴記者:2004年7月初,他大便次數增多,腹部隱隱不適,去江門市人民醫院檢查,做B超和CT,發現胰腺腫癌。突然的打擊幾乎讓他精神崩潰。黃先生的太太是護士,對胰腺癌的嚴重性早有所聞。有醫生勸黃先生接受手術,但全家反對,一方面黃先生年事已高,另一方面他們了解胰腺癌能切除者微乎其微。一位鄰居告訴他們:廣州復大腫瘤醫院有不開刀的冷凍治療,對肝癌、肺癌等許多腫瘤有良好效果。7月14日,夫妻倆帶著簡單的行李,直奔廣州,當日住進復大腫瘤醫院。牛立誌博士等醫務人員給黃先生作了詳細檢查,作了腫瘤活檢,確診為胰腺囊腺癌。7月16日,黃先生接受了冷凍加125-碘粒子植入治療。醫生在CT引導下,作腹部穿刺,不開刀,將細針直接插入胰腺腫瘤內,先冷凍,再植入125碘粒子20粒。第二天,黃先生下地行走;第三天,恢復正常飲食;第八天,出院回家。三年來,除腿關節有點老年退化性變性外,他生活完全正常,無疼痛,食欲好,睡得香,每天散步半小時。CT復查顯示:胰內腫瘤消失。
黃先生告訴記者,他很幸運。整個治療僅花4萬元人民幣。他說:如果我開刀,可能早就死了。他擬就了一飲食譜:每天雜糧(黃豆、玉米、小米、苡仁米、赤豆)8兩,鮮魚1條,青菜2斤,水果4個。他正準備和老伴一起到加拿大、美國兒子家小住半年,回來後到醫院接受一次DC細胞免疫治療。他笑著說,按現在的身體狀況,活到九十歲沒問題。
在印尼棉蘭見到的奇跡
2007年6月26日,我在印尼《國際時報》安排下,去印尼棉蘭訪問。棉蘭是印尼蘇北省首府,僅次於雅加達和泗水的第三大城市。三年前我第一次訪問棉蘭,那次印華總會和棉蘭朋友的熱忱接待,至今難以忘懷。兩年多前,亞齊省海嘯,死傷數萬,棉蘭成為全世界救援亞齊的轉運地。當時,我每天均註視電視報道,看到我熟悉的華人領袖和朋友夜以繼日忙於救災,深為他們的忘我精神所感動。
到達棉蘭的第二天,我剛用過早餐,蘇北省印華總會負責人廖章然先生來電,說洪先生和他太太要來見我。我努力回憶,但很難清晰記得洪先生其人。見到洪先生,我恍然記起,他的太太是一位胰腺癌患者。洪先生是一位成功企業家,個頭不高,但壯實健康。洪太太一把拉住我的手,連說:“想不到吧!謝謝妳們。”只見她說話爽朗,中氣很足,面容稍黑,但絕無病態。
一年多前的一天,廖章然先生來電,說有一位朋友的太太患胰腺癌,在馬來西亞濱城接受手術治療。腹腔打開後,發現癌腫已不能切除,未作特殊處理,即關閉腹腔。醫生預期生命只有兩個月。這位太太就是洪先生的夫人。她不屈命運,來到我院接受了冷凍、血管介入、免疫和近距離治療。
我為洪太太作了簡單的體格檢查:無黃疸,腹無壓痛,無腫塊。中午廖章然先生請我吃飯,洪先生夫婦作陪。見洪太太吃得很香,精神矍然,我感到由衷高興。胰腺癌的主要癥狀是厭食和消瘦,洪太太的食欲正如她所說“老是吃不飽”,說明她的胰癌已被控制。她告訴我,超聲和CT復查未見腫瘤發展。醫生看病時察言觀色十分重要,看到洪太太的神態,我估計她再健康生存幾年應該不會有問題。
真是奇跡!憑著洪太太入院時的病情,我無論如何想不到她有今天!但願洪太太再活下去,活下去…
雅加達高官
2007年1月底,正值雅加達洪水。我應邀去萬隆講課,途徑加得布朗醫院。院長請我為一胰腺癌病人診治。病人是雅加達政府高官。因患胰腺癌,先後前往新加坡和日本求診,均因無法手術而被拒治。後接受化療和放療,但病情未控制,反而肝臟出現轉移。他把希望寄托在我院。但他是印尼有身份人士,非華人,信奉伊斯蘭,能否在我院獲得改善,我心中不無憂慮。但醫生是無權拒絕病人的。他來到我院,接受了以冷凍為主的綜合治療。治療後,疼痛消失,食欲增加,體重不再下降趨於穩定。他出院了,據說恢復了工作。
事隔半年,我再訪印尼。在雅加達,見到了這位高官。他緊緊握著我的手,說:“I do believe I have a long life!”
他要求我不要透露他生病的消息。這大概是全世界高官的通病,怕肉體生病影響政治生命。我當然為他保密。
研究論文:冷凍治療局部進展性胰腺癌38例
最近,我們總結了38例局部進展型胰腺癌的治療效果。治療方法是冷凍加125-碘粒子植入。11例接受剖腹冷凍,27例接受CT引導下經皮冷凍。125-碘粒子是在冷凍同時或稍後植入。結果:腫瘤在治療後取得完全反應率(腫瘤消失)24%,部分反應率(腫瘤消失30%以上)42%,穩定率(腫瘤縮小不超過30%)26%,進展率(腫瘤增大20%以上)8%;患者一年存活率94%,二年49%,三年22%。52%的患者已存活一年以上。有四例已生存兩年以上,最長一例已生存37個月。其效果遠超過國際上應用化療、放療治療的成績。
冷凍應作為胰腺癌的首選治療
胰腺癌治療迄今仍面臨著很多難題。奧地利一冷凍專家Kopan說,不管對什麽類型胰癌,冷凍均可作為首選治療,並可用冷凍代替手術治療。冷凍治療不會出現嚴重並發癥。由於冷凍區邊緣溫度不能達到足夠低的溫度,以致殘留活存癌細胞,此時,在冷凍區邊緣植入125-碘粒子,憑借其放射的短短r線,可殺滅殘存癌細胞,從而與冷凍起相輔相成作用。
有關資料
“Since the cryosurgical method is far less invasive than conventional pancreas resection for pancreas, the rate of complications and postoperative mortality are very low,cryosurgery should be choice modality for most of patients with pancreatic cancer.”
引自:Korpan NN著.《Basics of Cryosurgery》. “Pancreas cryosurgery”.Wein NewYork.Springer-Verlag出版社,2001年出版,第151~154頁

患胰腺癌去世的歌唱家帕瓦羅蒂

胰腺和胰腺癌圖片

徐教授、劉正平醫生與印尼棉蘭朋友聚會

黃先生與大馬記者一起
![]()
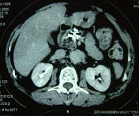
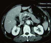
A B C
黃先生胰腺癌治療前後CT:A 治療前,B 治療後3個月,C 治療後12個月
胰腺癌患者生活保健
胰腺癌病人從診斷到治療,精神、心理、身體都受到打擊,在這種情況下,註意自我保健顯得尤為重要。應盡可能保持日常生活的規律性,定時起床、進食及活動,避免消極悲觀,終日臥床不起。適當增加戶外活動。安定情緒,遇到不愉快或不稱心的事,應冷靜思考,切忌急躁或暴怒。飲食上要合病人的口味,選擇易消化、富營養、少刺激性、低脂肪的飲食,多吃新鮮水果和蔬菜。要避免暴飲、暴食、喝酒和高脂肪、辛辣刺激的飲食。康復期應采用中醫中藥治療,將消瘤與補氣養血相結合,以起到標本兼治之功,並與其他療法配合應用,增加治療療效。對胰腺癌病人來說,經常進行復查很重要。定期復查一般術後每隔1個月、3個月復查1次,以後每6個月復查1次;3年後,一般可每年復查1次。定期復查的主要項目是腹部B超或Cr檢查,了解局部有無復發和轉移病竈。若B超發現可疑病竈,性質不明確,可進一步作CT或MRI檢查。其他常規檢查,如血常規、生化檢查和大便潛血試驗,亦必須定期檢查。
康復飲食方
梔子仁枸杞粥
原料:梔子仁5~10克,鮮藕6克(或藕節10—15節),白茅根30克,枸杞40克,粳米130克。
制作方法:將梔子仁、藕節、白茅根、枸杞裝入紗布袋內紮緊,加水煮煎藥汁。粳米下鍋,下人藥汁、清水,燒沸,小火煮爛成稀粥,可加蜂蜜適量調味,即可。
功效:清熱利濕,涼血止血,除煩止渴。
赤豆鯉魚湯
原料:大鯉魚一尾(約1000克),赤豆50克,陳皮6克,玫瑰花15克。姜、鹽、綠葉蔬菜、雞湯各適量。
制作方法:鯉魚洗凈,赤豆煮之開裂與陳皮放人魚腹內。魚放盆內加入姜、鹽、赤豆湯、雞湯、玫瑰花、蒸約60~90分鐘,出籠放綠葉蔬菜入魚湯即可。
功效:活血化瘀,理氣散結,利水消腫。
薺菜豆腐羹
原料:佛甲草120克,薺萊180克,豆腐200克,凈蘆筍28克,黃豆芽湯750克,調料適量。
制作方法:佛甲草切段,裝入紗布袋,加水適量,煎煮藥汁,留用。炒鍋燒熱,加入黃豆芽汁、藥汁、豆腐丁、蘆筍片和鹽,燒沸,放人薺菜,燒沸,加入味精、熟花生油,出鍋即可。
功效:清熱和脾,消腫解毒。
豬胰海帶湯
原料:豬胰1條(約100克),淡菜30克,海帶20克,腫節風15克,姜汁3克,調料適量。
制作方法:腫節風切段,裝入紗布袋,加水煎煮藥汁。豬胰洗凈,沸水內氽一下。淡菜去毛,海帶溫水泡發後洗凈。鍋熱人花生油,豬胰片煸炒,下人姜汁,加入雞清湯、藥汁、淡菜、海帶、料酒、鹽、醬油,燒沸,小火燒熟透,味精調味,即可。
功效:補虛益脾,清熱解毒,軟堅散結。